Publications



Data-driven solutions for urban logistic operations to build public policy in Latin American cities.

 

Publication title: Data-driven Solutions for Evaluating and Planning Last Mile Operations in Latin America: A Methodological Approach Focused in Quito, Ecuador.

With the increasing urbanization rates in emerging countries such as the ones in Latin America and the Caribbean, urban logistics solutions and initiatives are widely needed. Urban planners often consider only passenger transportation and leave freight transportation unattended, thus increasing externalities and degrading the transportation of goods. This chapter presents three urban logistics solutions, which intend to tackle problems related to urbanization and last mile delivery operations challenges by evaluating location models for loading and unloading bays, urban transfer centers location models, and freight trip generation models. The presented solutions were proposed by several researchers of the Institute of Innovation in Productivity and Logistics CATENA-USFQ over the last four years and remain theoretical at the moment. However, we present estimated results of potential implementations in three districts of Quito: Historic Center, Entertainment District, and Corporate District. This chapter not only presents the mentioned urban logistics solutions in Quito but also gives an overview of the followed methodology, which can be replicated in countries and cities of similar characteristics of the region.

For further information:
https://doi.org/10.1108/978- 1-83909-331-920201006.



An Overview of the Maritime Transportation Dynamics in Galápagos Islands

 

Publication title: An Overview of Maritime Transportation Dynamics-Mobilization and Livelihood in Galápagos Islands

The Galápagos Islands are one of the biggest marine reserves in the world, home to a complex dynamic between its inhabitants, tourists, and biodiversity. Therefore, control over the logistics surrounding the resulting human mobilization process is fundamental to minimize the impact on the Islands' natural resources. This research gathers relevant information regarding the operation of the maritime transportation system of the islands and the waste management of its floating population based on official sources as well as in-situ observation. This chapter includes three sections with the purpose of maximizing the range of information analyzed. The first section covers the maritime cargo transportation from the continent to the islands. The second one covers the transportation of people between the islands, and the third covers the transportation and management of waste produced by each island. The information covers the institutions and policies that govern each of the systems considered and can serve to optimize the transportation logistics of the Galápagos Islands.

For further information:
DOI: 10.4018/978-1-7998-8040-0.ch003



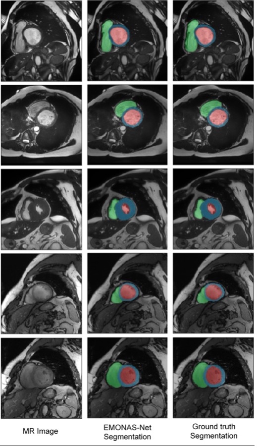
EMONAS-Net: A network that automatically segments medical images to facilitate diagnosis.

 

Publication title: EMONAS-Net: Efficient multiobjective neural architecture search using surrogate-assisted evolutionary algorithm for 3D medical image segmentation

Accurately segmenting medical images is a critical task to study anatomical structures, identify regions such as tumors and lesions, and assist in diagnosis. Nevertheless, manually segmenting images is a time-consuming process that requires expert knowledge. In this work, a framework that automatically designs neural networks that segment medical images is presented. The proposed neural networks produce accurate, consistent, and fast segmentations in prostate, cardiac, and brain MRIs.

For further information:
https://www.sciencedirect.com/science/article/pii/S0933365721001470

Address

Campus Cumbayá, Diego de Robles s/n, Quito 170901
Universidad San Francisco de Quito


Contact

Email: catena@usfq.edu.ec
Email: csuarez@usfq.edu.ec
Telf: +593 (02) 2971700 ext. 1230

Links
Feedback

We appreciate any feedback you consider giving us.

This website was designed with Mobirise